How Long Can A Cat Live With An Abdominal Mass : Lump In Stomach Under Rib Cage - inantabosmika : Lymphoma can occur in the chest, causing coughing and labored breath.
Dapatkan link
Facebook
X
Pinterest
Email
Aplikasi Lainnya
How Long Can A Cat Live With An Abdominal Mass : Lump In Stomach Under Rib Cage - inantabosmika : Lymphoma can occur in the chest, causing coughing and labored breath.. For example, the abdomen can be divided into four areas: The cat is much more obviously ill than with simple retention of foetal membranes. Other signs of tumours (benign or cancerous) affecting internal organs can include loss of appetite, weight loss, lethargy and weakness, difficulty in breathing, limping and recurrent digestive problems. Stomach tumors are uncommon in dogs and cats. A cyst is an abnormal mass in the body that's filled with.
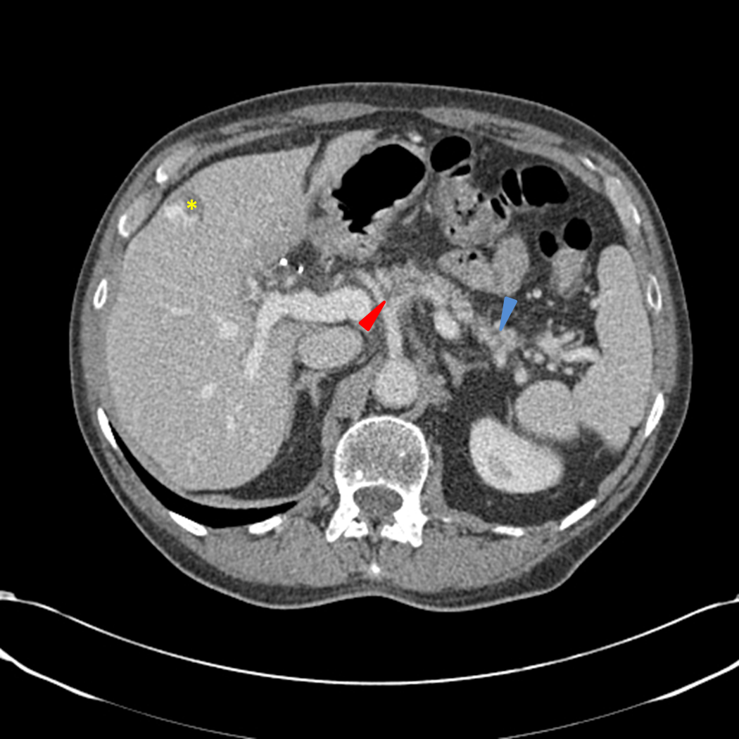
This abdominal ct scan shows tumor masses (malignant lymphomas) in the area behind the peritoneal cavity (retroperitoneal space). An abdominal mass is a lump felt in your tummy (abdomen). They discovered a mass in his abdomen. Keeping your cat indoors also helps protect them from getting into scrapes with other animals and health issues, including contagious diseases, fleas, ticks, and heartworms. Lymphoma can occur in the chest, causing coughing and labored breath.
Lump In Stomach Under Rib Cage - inantabosmika from 4.bp.blogspot.com However, these can be signs of many other illnesses as well. In this article, we talk about the causes, accompanying symptoms, and diagnosis of an abdominal mass. Stomach tumors are more prevalent in older animals, males, and. Some cats do not show any signs. They can include lethargy, loss of appetite, dehydration, weight loss, low body temperature, vomiting, jaundice, fever, and abdominal pain. This abdominal ct scan shows tumor masses (malignant lymphomas) in the area behind the peritoneal cavity (retroperitoneal space). It is a sarcoma arising from the lining of blood vessels; These 8 myths are not meant to offend anyone.
She will be dull and lethargic, ignore her kittens, refuse food, become polydipsic, and may vomit.
They help your doctor see the organs, blood vessels, and bones in your abdomen. This term describes lymphoma that affects the gastrointestinal tract. Sure, there are complications, expected or not, during and after surgery. How long can cats live with stomach cancer? There are many different causes of an abdominal mass. An abdominal mass may sometimes be palpated by your veterinarian on physical examination. Attaches itself to the tissue under the skin in that area; Abdominal masses can be the result of a number of factors, including an injury, cyst, benign tumor, cancer, or other disease. Cats with sudden abdominal signs of unknown cause, and those that continue to worsen, may also require surgery. They discovered a mass in his abdomen. Our 15 year old female cat has developed a solid mass in the last 7 months. Keeping your cat indoors also helps protect them from getting into scrapes with other animals and health issues, including contagious diseases, fleas, ticks, and heartworms. Learn more about the symptoms and treatment of this condition in cats on petmd.com.
In january our vet did not feel it and last week when we took her in for her rabies booster it was discovered. Some tumors can cause blockage (partial or complete obstruction) of the intestinal tract which requires immediate medical attention. Most of the time, the mass develops slowly. Abdominal palpation may cause the queen pain and the uterus usually feels thickened. Ascites is the buildup of fluid in the abdomen.
Laparoscopic Gallbladder Surgery & Removal Caboolture ... from www.drnaeemkhan.com.au The prognosis for a cat with stomach cancer depends on the type of cancer and how advanced the cancer is at the time of diagnosis. Medication can sometimes be used to reduce the size of the mass. She will be dull and lethargic, ignore her kittens, refuse food, become polydipsic, and may vomit. Evaluation of a patient with liver mass. The differential diagnosis of a mass in the liver is broad but can be easily narrowed down based on two factors that are usually known at the time of. Intestine, while diarrhea or constipation can occur with tumors of the large intestine. Some cats do not show any signs. There are many different causes of an abdominal mass.
Ascites is the buildup of fluid in the abdomen.
In cases of metastasis to other body organs, prognosis is very poor, where survival may only be a few months. You must see a doctor as soon as you think you can feel a mass in your abdomen because you may need urgent investigations and treatment. My 10 year old cat went to the vet this week because he has not been eating, and has lost close to 3 pounds. An abdominal mass may sometimes be palpated by your veterinarian on physical examination. The treatment of choice for a solitary liver tumor is surgery, provided that it has not spread to another internal organ.an abdominal incision is made to expose the liver and associated tumor. A cat with gastric lymphoma can be expected to survive an average of six months with chemotherapy, although a cat that initially responds favorably to chemotherapy can be. A fancier test, that can show much smaller masses, is a cat scan of the chest. And, depending on the tumour, it can spread to other parts. How long can cats live with stomach cancer? Cats with sudden abdominal signs of unknown cause, and those that continue to worsen, may also require surgery. This term describes lymphoma that affects the gastrointestinal tract. We'll explain why your doctor may. If an obstruction cannot be removed using the endoscope or if it occurs in the intestines, then surgery will be needed.
Abdominal masses can be the result of a number of factors, including an injury, cyst, benign tumor, cancer, or other disease. Some tumors can cause blockage (partial or complete obstruction) of the intestinal tract which requires immediate medical attention. This term describes lymphoma that affects the gastrointestinal tract. There are many kinds, including leiomyosarcomas, lymphomas, adenocarcinomas, mast cell tumors, fibrosarcomas, plasmacytomas, gastrointestinal stromal tumors (gists), and carcinoids (all malignant); Cancer in cats is the leading cause of death among cats.
Belly fat: Abdominal obesity can increase risk of deadly ... from cdn.images.express.co.uk A fancier test, that can show much smaller masses, is a cat scan of the chest. For those that cause troubling symptoms, surgery can remove the tumor. Some cats do not show any signs. A cat with gastric lymphoma can be expected to survive an average of six months with chemotherapy, although a cat that initially responds favorably to chemotherapy can be. We'll explain why your doctor may. Learn more about the symptoms and treatment of this condition in cats on petmd.com. How long can cats live with stomach cancer? Abdominal masses can be the result of a number of factors, including an injury, cyst, benign tumor, cancer, or other disease.
They discovered a mass in his abdomen.
An abdominal mass is most often found during a routine physical exam. The differential diagnosis of a mass in the liver is broad but can be easily narrowed down based on two factors that are usually known at the time of. There are many different causes of an abdominal mass. In cases of metastasis to other body organs, prognosis is very poor, where survival may only be a few months. They are based on observations made over years of practice. And leiomyomas, adenomatous polyps, and adenomas (benign). This abdominal ct scan shows tumor masses (malignant lymphomas) in the area behind the peritoneal cavity (retroperitoneal space). The doctor is 99% sure that is is a malignancy. As fluid accumulates, it can also put pressure on the diaphragm, making breathing a challenge for those affected by the condition. Lymphoma can occur in the chest, causing coughing and labored breath. How long can cats live with stomach cancer? The cat is much more obviously ill than with simple retention of foetal membranes. In this article, we talk about the causes, accompanying symptoms, and diagnosis of an abdominal mass.
Hutang atau pinjam uang merupakan kegiatan yang bisa jadi menjadi solusi dari banyak masalah keuangan, entah itu untuk merintis usaha, membeli aset, atau untuk . Hal ini juga dipaparkan dalam buku berjudul perjanjian utang piutang yang disusun oleh gatot supramono, s.h., m.hum. Berdasarkan surat perjanjian hutang piutang tertanggal 30november 2015, . Tujuan dibuatnya surat perjanjian uang. Surat perjanjian hutang adalah dokumen atau berkas resmi yang berfungsi sebagai acuan dari kegiatan peminjaman uang oleh pemilik dan . Pin di simpan from i.pinimg.com , kami yang bertanda tangan dibawah ini setuju mengadakan perjanjian hutang piutang yaitu : Untuk hutang dengan tujuan usaha biasanya harus . Bahwa dalam surat perjanjian kerjasama usaha dan pinjamanmodal di mana penggugat. Surat perjanjian hutang piutang pada hari ini,. Pada artikel sebelu...
How To Make A Business Card In Illustrator Cs6 - Free Creative Artist Business Card Free Design Resources / Create a memorable business card with one of these free illustrator business card templates. . How to make an object transparent new in cs6: To learn how to configure your browser for viewing pdf files, see the adobe reader tech support page. Them start your work first choose your business card size 3.5 x 2 okay. It may vary slightly or significantly with other versions or products. How to make a business card design in adobe illustrator cc hello everyone, this video tutorial we will learn to create a business. Elaine weinmann and peter lourekas. But to make things faster, you could have picked the number of art boards in the settings before. Follow this simple tutorial to learn to create your own business card using adobe illustrator. Make a professional business card with placeit's simple business card maker. The tutorial is about designing a basic struct...
How Do Banks Make Money From Credit Cards - For Banks Data On Your Spending Habits Could Be A Gold Mine / If you have a checking account or savings account, or if you've ever opened a credit card. . Some of these fees are levied on everyone irrespective of the usage on the card such as annual fee whereas other charges may be levied only under predefined circumstances. If you have a bank of. Your card issuing bank may make about 1% on every rupee spent. When you use a credit card, you're borrowing money from the issuer. When a cardholder fails to repay their entire balance in a given month, interest fees are charged to the account. There are two types of credit cards for you to make money with, rewards cards and cash back cards. You earn points for each dollar you spend, usually 1 point per dollar spent. They make money from credit cards from about three or four sources. The portion of the fee that goes to your card issuer — usually about 1% to 3% of a purcha...
Komentar
Posting Komentar